Discover
/
Article

Magnetic resonance imaging with traveling waves

MAR 09, 2009
2178/pt40687_pt-4-0687-online-f1.jpg

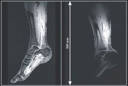
MRI excels at revealing subtle features in soft tissue. Hydrogen nuclei are detected through the electromotive force induced in a nearby coil when their spins flip from an RF pulse. Typically, one coil transmits the pulse and another detects the induced signal. That configuration has been used in clinical settings for decades with imagers built from 1.5 T magnets. In recent years, imagers have been developed with greater field strength to boost sensitivity. But as the field increases, so does the resonance frequency required to excite nuclei. The corresponding wavelength in tissue in a 7-T magnet is about 12 cm, on par with the size of resonator coils that encircle a human head. The result: interference and standing-wave RF patterns. Those inhomogeneities in the RF field are disastrous because they perturb the image contrast between different types of tissue. A group led by Klaas Pruessmann at ETH Zürich has now solved the problem by removing the RF coils entirely and using the conductive lining in a 7-T MRI cavity as a waveguide with an antenna placed at one end. A patient inside the waveguide is exposed to a homogeneous traveling RF wave launched from the same antenna that subsequently detects the spin signals. The in vivo images of a human leg demonstrate that traveling-wave MRI (left) can excite spins more uniformly than can inductive MRI (right). The researchers speculate that, with the tight-fitting induction coils gone, patients may suffer less from claustrophobia and engineers may enjoy more design freedom. (D. O. Brunner, N. De Zanche, J. Frölich, J. Paska, K. P. Pruessmann, Nature 457, 994, 2009 .) — R. Mark Wilson

Related content
/
Article
The finding that the Saturnian moon may host layers of icy slush instead of a global ocean could change how planetary scientists think about other icy moons as well.
/
Article
/
Article
After a foray into international health and social welfare, she returned to the physical sciences. She is currently at the Moore Foundation.
/
Article
Modeling the shapes of tree branches, neurons, and blood vessels is a thorny problem, but researchers have just discovered that much of the math has already been done.

Get PT in your inbox

pt_newsletter_card_blue.png
PT The Week in Physics

A collection of PT's content from the previous week delivered every Monday.

pt_newsletter_card_darkblue.png
PT New Issue Alert

Be notified about the new issue with links to highlights and the full TOC.

pt_newsletter_card_pink.png
PT Webinars & White Papers

The latest webinars, white papers and other informational resources.

By signing up you agree to allow AIP to send you email newsletters. You further agree to our privacy policy and terms of service.